12 grudnia 2025 r. uczniowie z klasy II f oraz III f mieli okazję
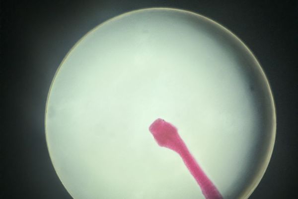
uczestniczyć w niezwykle ciekawych zajęciach w Zakładzie Biologii i Farmakognozji UMB. Podczas krótkiego, ale bardzo interesującego wykładu poznali cykle rozwojowe pasożytów, a następnie przenieśli teorię w praktykę, obserwując liczne preparaty mikroskopowe. Uczniowie oglądali m.in. lamblię, rzęsistka pochwowego, jaja tasiemca i glisty ludzkiej, wągry oraz główkę tasiemca uzbrojonego. Duże zainteresowanie wzbudziły również preparaty formalinowe tasiemca oraz wągra bąblowca.
Była to cenna lekcja biologii, która pozwoliła poszerzyć wiedzę, rozbudzić ciekawość naukową i zobaczyć „na własne oczy” to, o czym często mówi się tylko w podręcznikach.
Dziękujemy Pani dr Żanecie Piotrowskiej i Pani mgr Katarzynie Krukowskiej za poprowadzenie warsztatów.
Małgorzata Łupińska
fot. K. Zielińska, G. Zawadzki


